Brain Abscess Symptoms in Children: Causes and Trends

Alexandria
5 Min Read

Introduction

Brain abscess symptoms in children have drawn attention following a noticeable rise during the winter of 2022, coinciding with a surge in viral respiratory infections. Although these infections remain rare, the increase has prompted concern among pediatric specialists nationwide. Brain abscesses are localized pockets of infection within brain tissue, often resulting from common sinus or ear infections that spread to the brain. Recognizing the symptoms, understanding risk factors, and learning preventive measures are essential for parents and caregivers.

What is a Brain Abscess in Children?

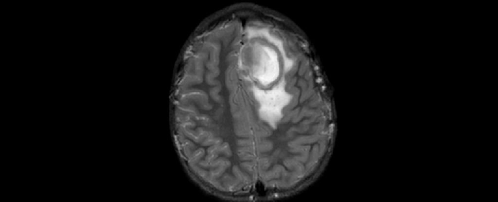
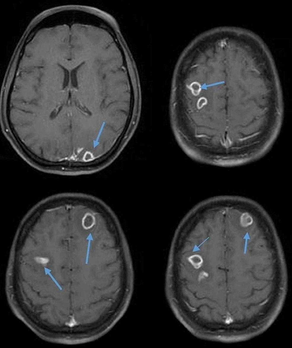
A brain abscess occurs when bacteria or other pathogens infect the brain, forming a pocket of pus. In children, these infections often start as routine sinusitis or ear infections that travel to the brain. Though rare, brain abscesses are considered medical emergencies because they can rapidly worsen if untreated. Early recognition and treatment are critical to preventing complications and promoting full recovery.

Data collected from multiple children’s hospitals across the United States indicate that pediatric brain abscess cases surged in December 2022. This rise coincided with an unusually high number of respiratory infections, including influenza and RSV. While historically, the average monthly number of cases ranged from 30 to 60, the peak in December 2022 reached over 100 cases, representing a significant increase. Experts attribute this spike to secondary bacterial infections following widespread viral illness in children.

How Brain Abscesses Develop

Brain abscesses usually occur when an infection in another part of the body, such as the sinuses or ears, spreads to the brain. The immune system often contains infections in children, but under certain conditions, bacteria can travel through the bloodstream or directly invade brain tissue. Children recovering from severe viral infections are at higher risk, as viral illness can weaken local defenses and make the brain more vulnerable to secondary bacterial invasion. https://my.clevelandclinic.org/health/diseases/21777-brain-abscess

Symptoms to Watch For

Recognizing early brain abscess symptoms in children is crucial. Common warning signs include persistent headache, swelling around the eyes, fever, nausea, and neurological symptoms such as seizures or weakness. Parents should seek prompt medical attention if a child exhibits these symptoms, especially following a recent sinus or ear infection. Pediatric specialists emphasize that timely diagnosis can significantly improve outcomes.

Treatment and Recovery

Treatment for pediatric brain abscesses typically involves antibiotics and, in some cases, surgery to drain the infected area. Recovery can be prolonged, with some children requiring multiple procedures and rehabilitation. Despite the severity, most children recover fully with early intervention. Staying up to date on immunizations, including influenza and COVID-19 vaccines, can reduce the risk of brain abscess symptoms secondary infections that might lead to brain abscess formation.

Preventive Measures for Parents

Preventing brain abscesses in children starts with managing routine infections effectively. Prompt treatment of ear and sinus infections, monitoring for warning signs, and ensuring children receive recommended vaccines are all critical steps. Parents should also educate themselves about symptoms that warrant medical evaluation, such as localized headache, eye swelling, or prolonged fever.

Experts note that spikes in viral infections can lead to an increase in secondary bacterial infections. Following a particularly heavy season of respiratory viruses, bacteria can invade previously compromised areas, occasionally resulting in severe infections like brain brain abscess symptoms abscesses. Pediatric infectious disease specialists emphasize monitoring recovery closely and seeking care if symptoms worsen.

Conclusion

While brain abscesses in children remain uncommon, recent national trends highlight the importance of awareness, early recognition, and prompt treatment. Parents and caregivers should remain vigilant during respiratory virus seasons, ensuring routine infections are treated appropriately and children stay up to date on vaccinations. Understanding the causes, symptoms, and preventive measures can help safeguard children’s health and prevent serious complications.

Share This Article
Leave a Comment